昨日は矯正日でもありましたので40名ほどの患者様に来院していただきました。
ばたばたしてしまってすみません
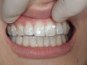
マウスピース矯正インビザラインを昨日装着しました。
22個あるマウスピースの1個目です。
マウスピースをはめる前に歯がよく動くようプラスチックで突起を作ります。
上下マウスピースを入れた状態です。
1日20時間入れてもらいます。初めはきつい感じがしますが
ほとんどの方が違和感なくなります。
歯科用のカメラで写真を撮ると装着しているのがわかりますが
普段の生活ではほとんどきずかれません。
次回は1か月後にチェックです。




